Metamorfozy

Zaprezentowane efekty leczenia wystąpiły u tego konkretnego pacjenta, a wyniki leczenia mogą się różnić w zależności od indywidualnych cech, schorzeń pacjenta.

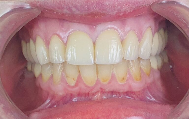
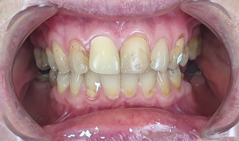
Metamorfoza 5

Kliknij, aby
zobaczyć

Metamorfoza 5 - przed

Przed zabiegiem

Metamorfoza 5 - po

Po zabiegu

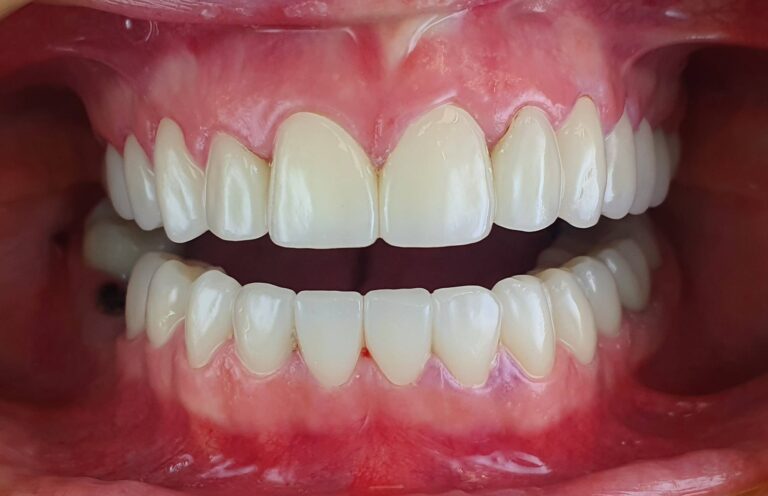
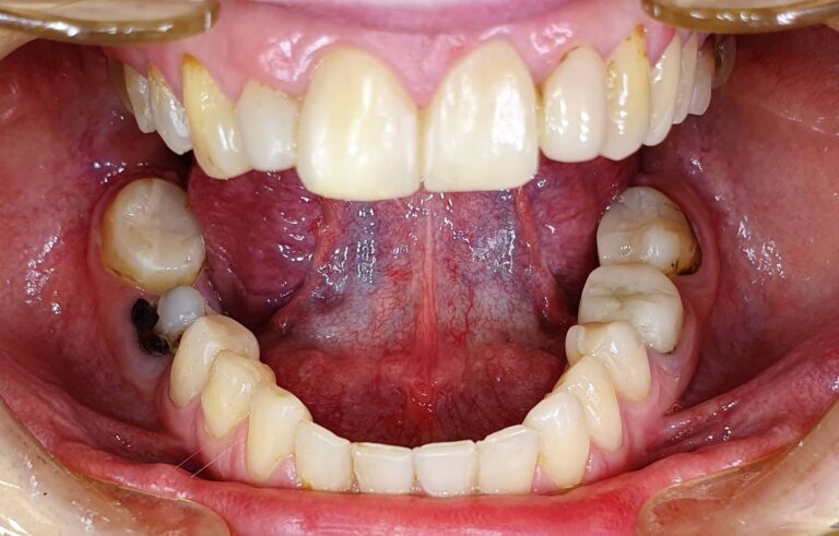
Metamorfoza 6

Kliknij, aby
zobaczyć

Metamorfoza 6 - przed

Przed zabiegiem

Metamorfoza 6 - po

Po zabiegu

Opinie naszych
zadowolonych pacjentów


Zainteresowany?

Skontaktuj się z nami!

Wystarczy, że wypełnisz formularz, a my skontaktujemy się z Tobą. Dzięki temu sprawnie umówisz dogodny termin.

Rejestracja online

+48 45 9... [zobacz]+48 45 956 82 72

info@stomasmile.pl

Jak do nas trafić?

Dla naszych klientów oferujemy dogodny parking zaraz
przy gabinecie. Dzięki temu wizyta jest szybsza i pozbawiona zbędnych niedogodności.

Puławska 17, Warszawa

Pon - Sb: 08:00 - 21:00

Masz więcej pytań?

Skorzystaj z formularza!

    Przegląd prywatności
    logo stomasmile

    Ta strona korzysta z ciasteczek, aby zapewnić Ci najlepszą możliwą obsługę. Informacje o ciasteczkach są przechowywane w przeglądarce i wykonują funkcje takie jak rozpoznawanie Cię po powrocie na naszą stronę internetową i pomaganie naszemu zespołowi w zrozumieniu, które sekcje witryny są dla Ciebie najbardziej interesujące i przydatne.

    Ściśle niezbędne ciasteczka

    Niezbędne ciasteczka powinny być zawsze włączone, abyśmy mogli zapisać twoje preferencje dotyczące ustawień ciasteczek.

    Ciasteczka stron trzecich

    Ta strona korzysta z Google Analytics do gromadzenia anonimowych informacji, takich jak liczba odwiedzających i najpopularniejsze podstrony witryny.

    Włączenie tego ciasteczka pomaga nam ulepszyć naszą stronę internetową.